Beatriz, la joven barcelonesa que sufrió un accidente en el campo del AISS

Beatriz, la joven barcelonesa que sufrió un accidente en el campo del AISS CEDIDA

El pulso de la ciudad

Beatriz, víctima de un olvidado campo de fútbol de Barcelona: “No he recuperado la movilidad que tenía antes”

La joven barcelonesa sufrió una rotura de tibia, peroné y ligamentos al acudir como espectadora a las instalaciones del AISS, evidenciando el absoluto estado de abandono del equipamiento

Otras informaciones: Sirera carga contra el mal estado de un campo de Sant Andreu: baches, suciedad y humedades

Llegir en Català
Publicada

Noticias relacionadas

Beatriz recuerda el 25 de enero de 2025. Como cualquier otro día de la temporada, su sobrino jugaba en el campo del AISS, un verde ubicado en el distrito de Sant Martí y frecuentado por el fútbol base de la UE Sant Andreu.

El chico, que aquella tarde no se encontraba bien, se sentó en el banquillo, muy cerca de una de las porterías. Cuando Beatriz se acercó para interesarse por su estado, pisó una rejilla que cedió y le dejó una pierna atrapada. “Me rompí la tibia, el peroné y los ligamentos”, relata a Metrópoli.

La joven, cuya lesión le ha provocado secuelas permanentes, denuncia el estado de abandono en el que se encuentra este campo, e incide en la necesidad de que se actúe para evitar que jugadores y público sufran futuros accidentes.

Pérdida de movilidad

Esta barcelonesa se vio obligada a pasar por quirófano tras el accidente, lo que se tradujo en una baja laboral de tres meses y en la imposibilidad de conducir hasta junio. A raíz de la intervención, además, ha quedado privada de realizar algunas actividades.

Tobillo de Beatriz tras la lesión

Tobillo de Beatriz tras la lesión CEDIDA

“Hacía crossfit y corría, ya no lo volveré a hacer. El pie no se me levanta, no he recuperado la movilidad que tenía antes”, confiesa la joven, quien tambien sufre un “descuadre de cadera” derivado del incidente.

Sin responsables

Tras el accidente, nadie se responsabilizó de los daños que sufrió Beatriz. La aseguradora de la UE Sant Andreu, explica, se desentendió del incidente. Aunque posteriormente se dirigió al distrito de Sant Martí ante la posible titularidad municipal del campo, éste pertenece a la Generalitat.

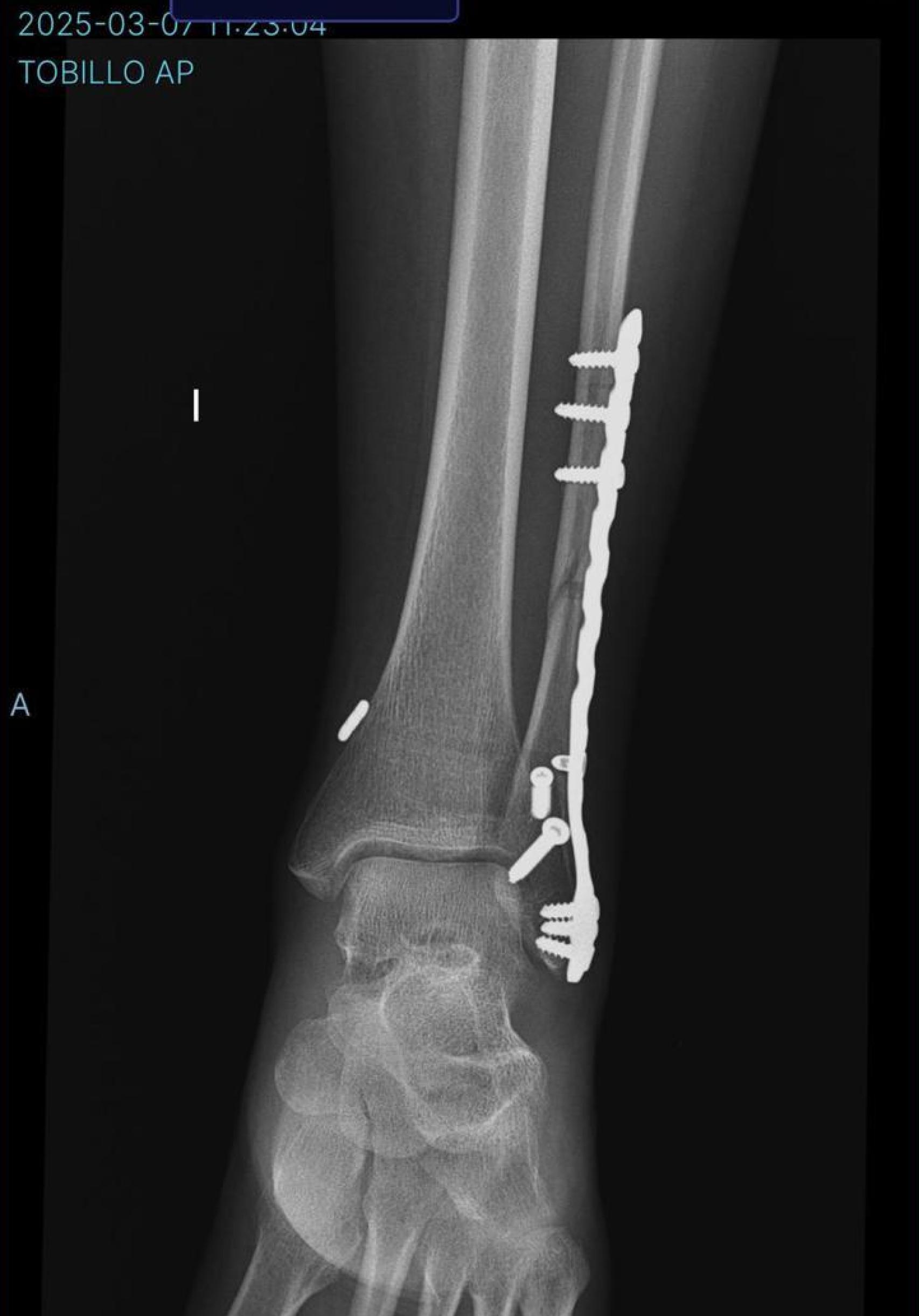
Radiografía tras la operación a la que se sometió Beatriz

Radiografía tras la operación a la que se sometió Beatriz CEDIDA

Más de un año después de la lesión de la joven, nadie ha asumido responsabilidades por estos hechos. Beatriz, quien insiste en el deplorable estado de una instalación donde también hay plagas de “ratas y cucarachas”, urge a que se tomen medidas para evitar futuros accidentes.

El campo está igual o peor que hace un año, alguien tiene que actuar”, sentencia la barcelonesa.

“Mejoras urgentes”

El líder del PP en Barcelona, Daniel Sirera, denunció recientemente el “estado deplorable” de la instalación, que presenta cableado en mal estado, tuberías que pierden agua, verjas y desagües rotos, y parches de césped levantados, entre otros desperfectos.

Ante esta situación, el edil popular exigió la adopción de “mejoras urgentes”. “El gobierno de Collboni debe ser exigente con la Generalitat como propietaria de la instalación, para que ésta haga de forma inmediata las reformas necesarias para garantizar un uso seguro de este campo de fútbol”, apuntó.

Daniel Sirera, líder del PP en Barcelona, comprueba la degradación de las instalaciones

Daniel Sirera, líder del PP en Barcelona, comprueba la degradación de las instalaciones PP BCN

Fuentes municipales indican que esta cuestión debe tratarse entre la Generalitat, propietaria de los terrenos, y el club. Desde la administración catalana apuntan que hay conocimiento de "las dificultades que presentan las instalaciones", y aseguran que "las diferentes administraciones están trabajando conjuntamente para ver cómo paliar estas dificultades de la mejor manera y en la mayor brevedad posible".

Inversión del club

El club de Sant Andreu confirmó en un comunicado, el pasado 10 de febrero, la realización de una “inversión aproximada de 100.000 euros” en la presente temporada para mejorar el estado del equipamiento.

Al cambio de la iluminación ya realizado se sumará un nuevo servicio de limpieza y mantenimiento de los vestuarios, la reparación de desperfectos en las instalaciones y de los agujeros en el césped, la sustitución de la hierba artificial en la zona de calentamiento y el cambio de las redes protectoras del campo.

El presidente de la UE Sant Andreu, Taito Suzuki, en el campo del AISS

El presidente de la UE Sant Andreu, Taito Suzuki, en el campo del AISS UE SANT ANDREU

Los quatribarrats señalaron que están “en contacto con la Generalitat para intentar que, como institución a la que pertenece la propiedad de las instalaciones, haga las actuaciones principales, priorizando la renovación de los módulos de los vestuarios y la sustitución de las barandillas de protección”.